Image Gallery: Primary & Metastatic Tumors Part 1

Christine Mullin, VMD, DACVIM (Oncology), BluePearl Pet Hospital, Malvern, Pennsylvania

Chris Ryan, VMD, DABVP, DACVR, Hope Veterinary Specialists, Malvern, Pennsylvania

Craig A. Clifford, DVM, MS, DACVIM (Oncology), BluePearl Pet Hospital, Malvern, Pennsylvania

ArticleLast Updated June 20171 min readPeer ReviewedWeb-Exclusive

Image Gallery: Primary & Metastatic Tumors Part 2

The following thoracic radiographs provide case-based examples of primary and secondary (ie, metastatic) neoplasms of the thoracic cavity in dogs and cats. Individual patient and case information is included to provide clinical context.

selected slide image

Figure 1A 

1 / 27
Figure 1A 

Canine lung tumor

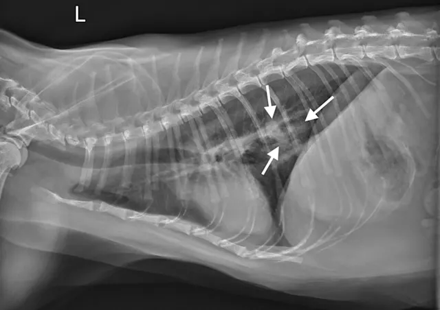
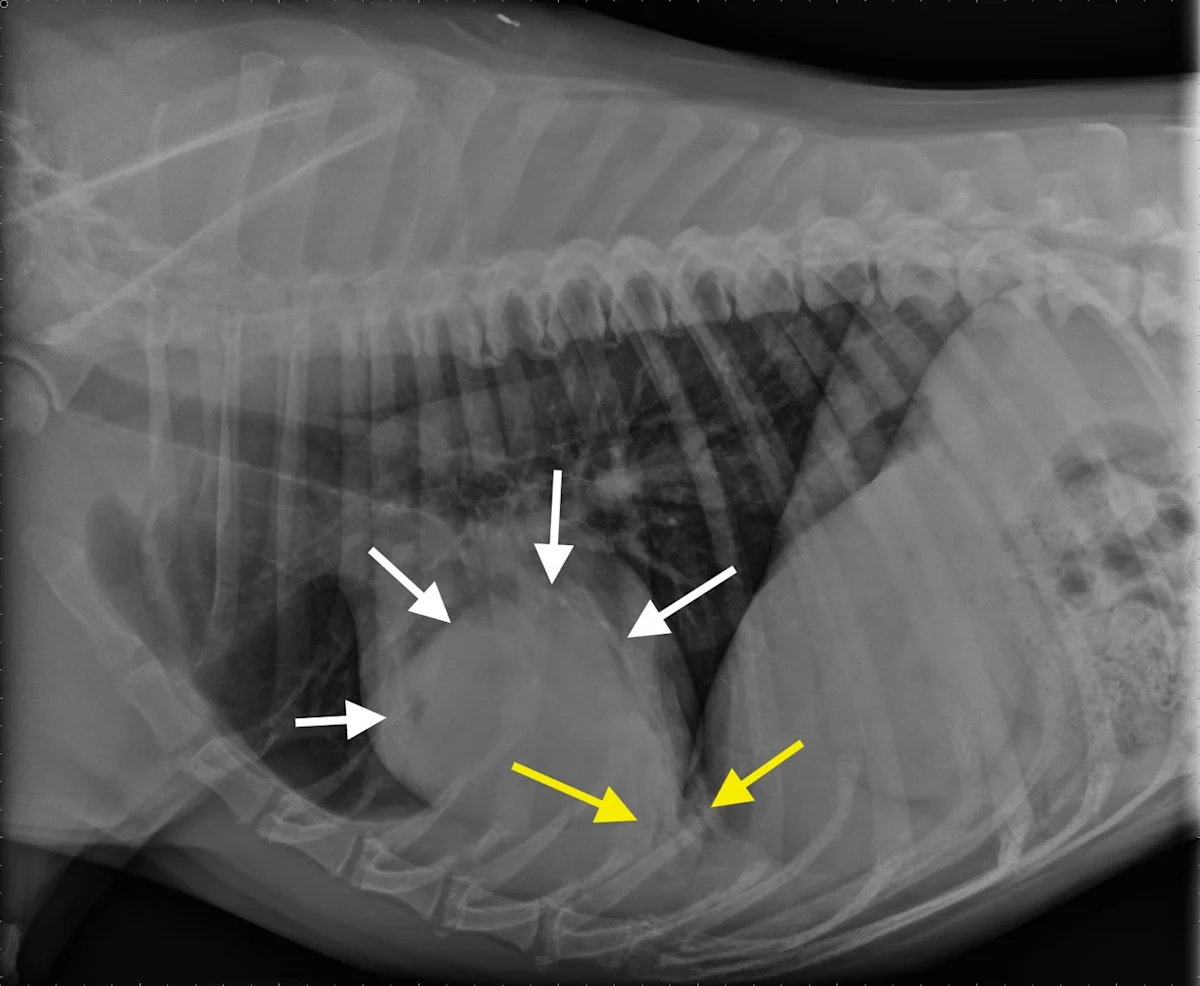
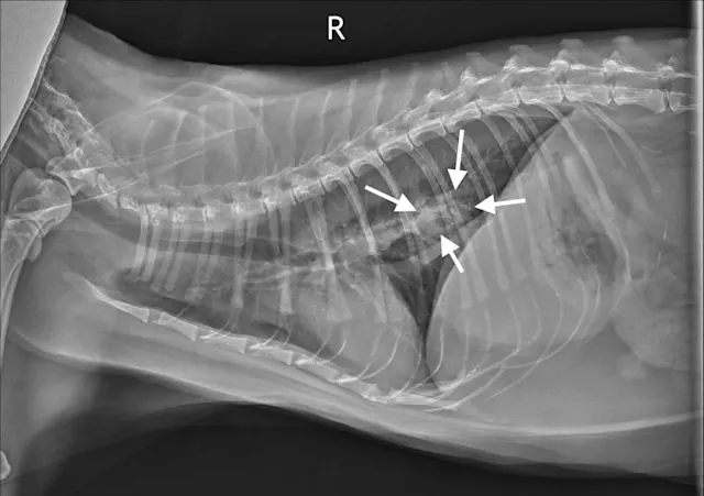
In these 3-view thoracic radiographs of an 8-year-old neutered male boxer with a lung tumor, a large soft tissue mass visibly extends to the lung lobe margins, nearly causing complete consolidation of the right middle lung lobe. Several closely spaced air bronchograms at the caudal margin of the mass are consistent with atelectasis caused by the expansile nature of the mass (Figure 1A; arrows). The apparent right mediastinal shift (ie, shifting of the cardiac silhouette to the right) in the ventrodorsal view (Figure 1C) is, at least in part, due to a moderate degree of patient rotation.

This patient underwent a right intercostal thoracotomy and lung lobectomy for tumor resection. On exposure of the thoracic cavity during surgery, it was found that the tumor was in contact with the right side of the heart, and, accordingly, occasional ventricular arrhythmias (ie, 3-4 per minute) were noted. A narrowly excised low-grade pulmonary carcinoma was confirmed via histopathology.

selected slide image
1 / 3

Figure 12A Dog after urethral stent placed to alleviate a complete urinary obstruction secondary to prostatic carcinoma 

This 2-view contrast urethrogram shows a 12-year-old neutered male miniature schnauzer just after urethral stent placement for alleviation of a complete urinary obstruction secondary to prostatic carcinoma. The urinary bladder is cranially displaced and moderately distended with radiopaque contrast media. Visible in the left lateral view (Figure 12B), a large, round soft tissue mass caudal to the contrast-filled bladder is consistent with a prostatic mass. A metallic stent (Figure 12B; arrows) spans the entire length of the prostatic urethra and extends a short distance into the trigone of the urinary bladder. The enlarged prostate has caused left lateral displacement of the descending colon. The patient appeared to urinate comfortably immediately after stent placement.

The following radiographs provide case-based examples of primary and metastatic neoplasms of the musculoskeletal system in dogs and cats.

selected slide image

FIGURE 1

1 / 15
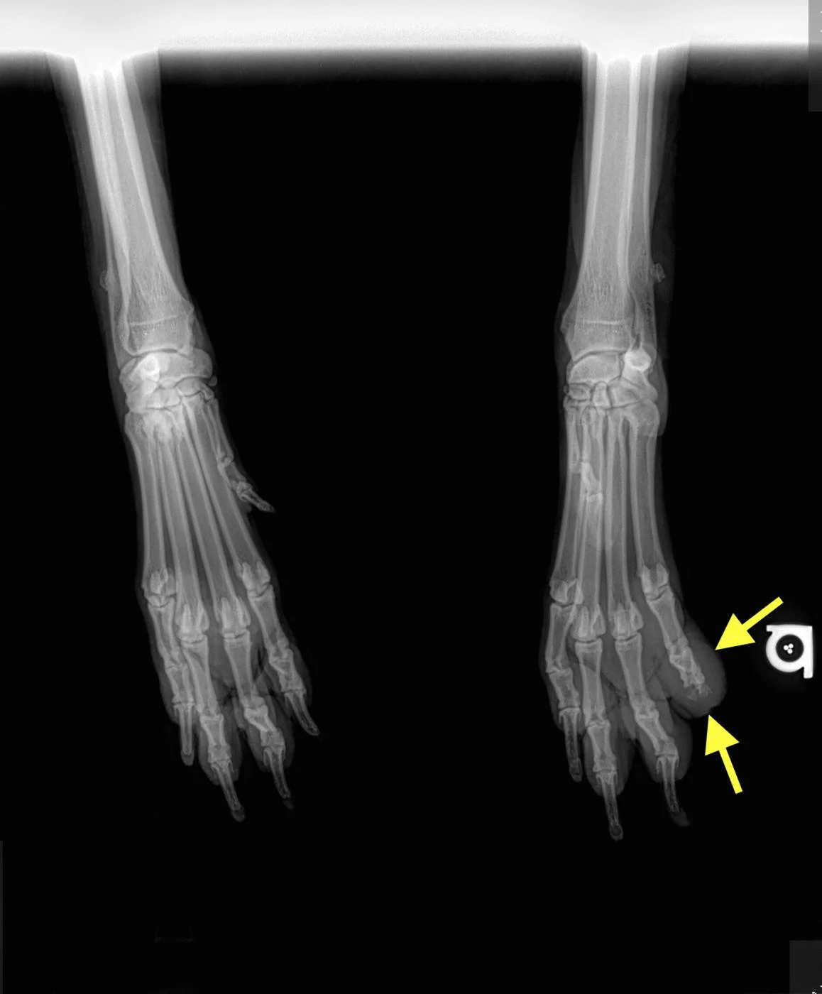
FIGURE 1

Digit melanoma


A single craniocaudal radiograph illustrates the forepaws of a 12-year-old neutered male Airedale terrier with digit melanoma. Moderate circumferential soft tissue swelling of the 5th digit of the left thoracic limb and significant lysis of the distal phalanx can be noted (arrows). The aggressive monostotic lesion of the distal phalanx of the 5th digit and associated soft tissue swelling are consistent with digital melanoma, which was confirmed via histopathology after digit amputation.