
Drew, an ≈6-year-old, 14-lb (6.4-kg) neutered male domestic shorthair cat, was presented for evaluation of a newly diagnosed heart murmur, a gallop sound, and resolving right thoracic limb lameness of 48 hours’ duration. Drew was previously a stray cat and had been adopted 5 years prior. Since being adopted, he has been an indoor cat and fed a therapeutic urinary diet. Vaccinations and heartworm prevention were current.
Patient History
At a wellness examination 2 weeks prior to the current presentation, a new, grade II-III/VI cardiac murmur was noted, and echocardiogram was recommended for preanesthetic evaluation prior to a comprehensive oral health assessment and treatment to address feline oral resorptive lesions. CBC results held no clinical relevance; a mild thrombocytopenia due to platelet clumping and a mild neutrophilia (11,461/mL [reference interval, 2,500-8,500/mL]) were present. Serum chemistry profile results were within reference intervals. Serum total thyroxine concentration was 2.1 micrograms/dL (reference interval, 0.8-4 micrograms/dL). FeLV ELISA antigen, FIV antibody, and feline heartworm antibody results were negative/normal.
One day prior to the current presentation, lameness of the right thoracic limb of 24 hours’ duration was evaluated. The owner reported that no trauma had occurred. Weight-bearing lameness of the affected limb was observed, but no painful reaction was elicited on manipulation; paw pads were pink and warm to the touch. In addition, the recently detected heart murmur had progressed to a grade IV/VI parasternal cardiac murmur with a gallop sound. Two-view radiographs (dorsopalmar and lateral) of the right thoracic limb were obtained; no overt musculoskeletal abnormalities were noted. Drew was discharged, and a 2-day course of buprenorphine (≈0.02 mg/kg oral transmucosal every 12 hours) and robenacoxib (1 mg/kg PO every 24 hours) were prescribed. His owner was instructed to follow up with the cardiology service the next day.
Physical Examination
On physical examination at the cardiology department, Drew appeared bright, alert, and responsive. The owner noted Drew’s energy level and frequency of urination and defecation appeared decreased over the prior 7 days, his sleeping respiratory rate was 36 breaths per minute (normal, <30 breaths per minute), and his behavior was generally abnormal despite normal ambulation and resolution of the lameness. No coughing, sneezing, vomiting, diarrhea, or episodes of weakness or collapse were reported.
A grade III/VI left parasternal systolic cardiac murmur was auscultated. Tachycardia (heart rate, 170 bpm) was present and attributed to stress, cardiac rhythm was normal, and the gallop sound noted at the prior examination with the primary clinician could not be detected. Bilateral femoral pulse quality was strong and synchronous. Respiratory rate was 30 breaths per minute with normal effort. The remainder of the physical examination was unremarkable.
Differential Diagnoses
Differentials for the murmur included primary cardiomyopathy (eg, hypertrophic, restrictive, dilated, unspecified), congenital defect (eg, ventricular septal defect, other defect), benign disease (eg, dynamic left ventricular outflow tract obstruction), and systemic disease (eg, anemia). Less likely underlying etiologies included infectious endocarditis, myocarditis, and other cardiomyopathies but were not supported by the patient history, clinical presentation, or laboratory results.
Diagnostics
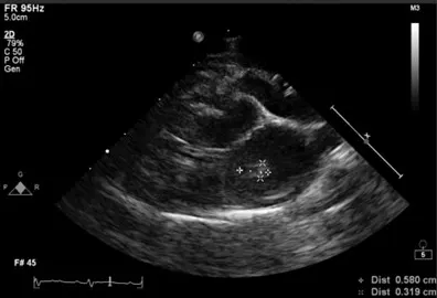
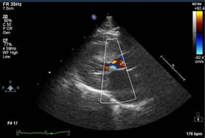
Diagnostics were triaged in order of importance because of the severity of disease and suspicion of a previous thromboembolic event, as well as to reduce patient stress. An echocardiogram to evaluate for underlying cardiac disease was determined to be top priority; results revealed concentric hypertrophy of the left ventricle (5.55 mm), papillary muscle hypertrophy, endomyocardial fibrosis, and end-systolic cavity obliteration. The left atrium was moderately dilated (left atrium:aorta, 2.3; 2D left atrial diameter [LAD], 22 mm; M-mode LAD, 23 mm) with presence of spontaneous echo contrast (ie, smoke). A moderately sized thrombus was observed in the left atrial appendage (Figure 1).

FIGURE 1 Left atrial thrombus in a cat with a history of hypertrophic cardiomyopathy presented for lameness. A slightly obliqued, right parasternal, 4-chamber-long axis view of the heart reveals a thrombus in the left atrium, which is moderately dilated.
Moderate systolic anterior motion of the anterior leaflet of the mitral valve apparatus was seen, as well as mild mitral valve regurgitation. Sinus tachycardia was present. The remainder of the study was unremarkable. No evidence of congestive heart failure (CHF; ie, no evidence of abnormal B-lines, pleural effusion, pericardial effusion) was found.
Thoracic radiography was not performed. Noninvasive Doppler blood pressure was also not performed at this visit to avoid additional patient stress. Echocardiogram was prioritized for diagnosis and establishment of a treatment plan.
Diagnosis: Stage B2 Hypertrophic Cardiomyopathy With Left Auricular Thrombus
Diagnosis
ACVIM stage B2 hypertrophic cardiomyopathy (obstructive phenotype) with a left auricular thrombus was diagnosed based on patient history, physical examination findings, and echocardiogram results.1 A thromboembolic event likely resulted in the previously noted right thoracic limb lameness.
Increased left atrium size, reduced left atrium function, and presence of spontaneous echo contrast and/or thrombus in either the left atrium or left atrial appendage are predictors of an increased risk for cardiac death.2,3
Treatment
Dual lifelong treatment with clopidogrel (18.75 mg/cat PO administered in the morning every 24 hours) to prevent additional thrombus formation and rivaroxaban (2.5 mg/cat PO administered in the evening every 24 hours) to prevent and treat additional thrombus formation was initiated. Dual therapy has been suggested to be more beneficial than monotherapy with either clopidogrel or rivaroxaban.4,5
Enalapril (2.5 mg/cat [0.4 mg/kg] PO every 24 hours) was also prescribed with instructions to begin administration after completion of the robenacoxib course. Enalapril is generally well tolerated by cats and may result in improvements in cardiac chamber dimensions.5 In this case, enalapril was started due to concern for potential progression to CHF after the stress of the visit and travel back and forth. Efficacy of enalapril has not been proven nor disproven, and the dose may be adjusted or discontinued based on patient response.
TREATMENT AT A GLANCE
Referral for echocardiogram for evaluation of an underlying cardiomyopathy should be considered in patients with lameness and a cardiac murmur, arrhythmia, or extra heart sounds; changes in respiratory rate; periods of open-mouth breathing; and/or decreased energy level.
Stress management during visits to the clinic is vital to avoid adverse effects during transport or in the clinic. Fear-free handling, with or without premedication with gabapentin for anxious or fractious patients, is recommended.
Dual therapy at standard doses with clopidogrel (18.75 mg/cat PO every 24 hours) and rivaroxaban (2.5 mg/cat PO every 24 hours) administered 12 hours apart lifelong can prevent thromboembolic events and reduce the dimensions of existing thrombi.
In patients receiving anticoagulant therapy, blood should not be obtained from major vessels (eg, jugular vein), and peripheral vessels should be wrapped for 10 to 15 minutes after blood is obtained to ensure hemostasis. Bleeding and bruising are possible.
Outcome
At the 2-week follow up, the owner reported significant improvement, limping had resolved, and energy levels and appetite were improved. The sleeping respiratory rate was unchanged at 36 breaths per minute. Venous blood gas, packed-cell volume, and total solids were within normal limits. Noninvasive blood pressure measured via Doppler was 130 mm Hg (reference interval, 110-132 mm Hg).6
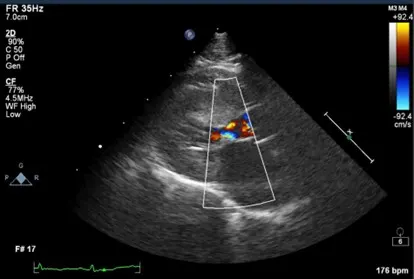
At the 4-month follow-up, the owner reported Drew was doing well overall but had short periods of heavy breathing associated with play activity. The sleeping respiratory rate was 32 to 36 breaths per minute at home. The murmur was unchanged. Echocardiogram results showed that the hypertrophic cardiomyopathy was stable and the thrombus was markedly improved and had decreased from 1 large thrombus in the auricular appendage to 2 small thrombi (1 in the atrial chamber and 1 in the appendage, along with spontaneous echo contrast [ie, smoke]; Figure 2). Clopidogrel, rivaroxaban, and enalapril were prescribed lifelong, with regular rechecks that include blood work and blood pressure measurement.

FIGURE 2 Stable left ventricular hypertrophy 4 months following diagnosis. Systolic anterior motion of the anterior mitral valve leaflet can also be seen.
Discussion
Hypertrophic cardiomyopathy in cats is common and can go undetected until a thromboembolic event or an acute episode of CHF occurs. Brief periods of lameness in cats with underlying hypertrophic cardiomyopathy may be attributed to undiagnosed thromboembolic events.
According to one study, up to 15% of cats in the general population may have hypertrophic cardiomyopathy.⁷ Other prevalence studies support this finding, with rates increasing with age—reaching as high as 29.4%.8 Male sex, obesity, and presence of a heart murmur have been identified as significant characteristics associated with hypertrophic cardiomyopathy in cats. Thoracic radiography, electrocardiogram, and echocardiography, as well as measurement of N-terminal pro-brain natriuretic peptide concentration, blood pressure, and total thyroxine levels in patients >7 years of age, are recommended for diagnosis.9 Aortic thromboembolism has been reported in up to 11.3% of cats within 10 years of diagnosis of hypertrophic cardiomyopathy and is considered a poor prognostic indicator.4
Clopidogrel alone is generally the standard treatment for prevention of cardiogenic thrombus formation.1 In a study, cats given clopidogrel were less likely to experience a recurrent thromboembolic event compared with cats given aspirin.10 Clopidogrel permanently inhibits platelet function; return to normal may therefore be 3 to 7 days after medication is discontinued. Clopidogrel should be discontinued 1 to 2 weeks prior to a surgical procedure (eg, dental cleaning) and restarted after healing is complete. Rivaroxaban is a factor Xa inhibitor that prevents conversion of prothrombin to thrombin during the clotting cascade. Unlike clopidogrel and aspirin, rivaroxaban works indirectly during the clotting cascade as opposed to directly inhibiting platelet formation. By blocking this step, platelet activation and aggregation are decreased because biomarkers that normally trigger platelets to clump are blocked.
Prescriptions for antiplatelet and anticoagulant medications should be noted in the patient’s chart as an alert to avoid excessive bruising and/or bleeding with future venipuncture, dental procedures, or surgical procedures. Jugular venipuncture should be avoided. Discontinuation of anticoagulant therapy may be discussed in specific instances (eg, before a surgical procedure). A guide for temporary discontinuation of anticoagulant medications involves risk assessment (low to moderate vs high risk) and the potential for hemodynamic instability and hemorrhage. High-risk patients receiving dual therapy should remain on single antiplatelet therapy, with the anticoagulant discontinued 5 to 7 days prior to the procedure. Close attention to surgical hemostasis and acknowledgment of an increased risk for hemorrhage is imperative and should be communicated to the pet owner and the veterinary team. Antiplatelet therapy may be discontinued in low- to moderate-risk patients 5 to 7 days prior to the procedure. Antiplatelet/anticoagulant therapy should be restarted in high- and low- to moderate-risk patients as soon as there is no risk for ongoing bleeding.10
Although enalapril (and/or benazepril) is most commonly started in patients that have progressed to CHF, in the author’s experience, this drug may provide some benefit, as it has demonstrated reduction of left atrial filling pressures. In this case, there was concern for progression to heart failure following 2 concurrent examinations in 2 successive days, along with travel. CHF is a radiographic diagnosis, but a cardiologist will look for echocardiographic indexes (including but not limited to the presence of B-lines, increased left atrial filling pressures, and pericardial/pleural effusion) for the presence of CHF. For this patient, there were also no physical examination markers of CHF (eg, crackles). If there is concern for progression to CHF and radiography is needed, or the patient is too fractious for a physical examination, a single dose of furosemide (2 mg/kg) may be safely administered. In addition, butorphanol (0.1-0.3 mg/kg) can be administered either individually or simultaneously with furosemide. To safely obtain radiographs and complete a physical examination, both medications may be given IV, IM, or SC based on patient stability, behavior, and stress level.
Thromboembolic events caused by an underlying cardiomyopathy are not uncommon in cats. In patients with an affected limb, immediate euthanasia is not necessarily the only outcome. With proper diagnosis of the underlying disease and prompt initiation of treatment, the thrombus can resolve over time and the patient’s quality of life can be preserved. Depending on the underlying cardiomyopathy, cats can have a good quality of life and can live for weeks, months, or years after a mild, peripheral thromboembolic event, even with presence of a left atrial thrombus. Presence of a left atrial thrombus does not guarantee CHF, although most feline cardiomyopathies are insidious and thus may present with acute CHF and/or a thromboembolic episode. The inside of the cardiac chambers cannot be seen on radiographs, thus early stage hypertrophic cardiomyopathy may be missed, as the initial thickening happens inwardly without chamber enlargement.
Take-Home Messages
Cats may be subclinical for cardiomyopathy, with no abnormalities on physical examination until the disease progresses and physiologic compensation is no longer possible.
Stress management is essential for patients with stage B2 hypertrophic cardiomyopathy. Rechecks should include appropriate handling and minimization of stressful stimuli.1
Severe enlargement of the left atrium can be a predisposing factor for thrombus formation due to increased blood volume in the left atrium and blood-flow stasis.
Increased left atrium size, reduced left atrium function, and presence of spontaneous echo contrast and/or a thrombus in either the left atrium or the left atrial appendage are predictors of an increased risk for cardiac death.
In addition to aortic thromboembolism, thromboembolic events in cats can also affect peripheral vessels, resulting in transient or permanent lameness.
Cats with atrial thrombus are at a markedly increased risk for aortic thromboembolism and/or sudden death, but treatments to preserve a good quality of life are available.