Horner Syndrome at a Glance

Mark Troxel, DVM, DACVIM (Neurology), Massachusetts Veterinary Referral Hospital, Woburn, Massachusetts

ArticleLast Updated May 20141 min readPeer Reviewed
Face of a cat with elevated right nictitans and smaller appearance to right eye.
FIGURE 1

Patient showing classic signs of right-sided Horner syndrome: miosis, ptosis, enophthalmos, and elevated nictitans.

Horner syndrome (Figures 1–3) is not a disease but a myriad of clinical signs caused by sympathetic denervation to the eye. Disease affecting any portion of the sympathetic pathway can lead to ipsilateral neurologic dysfunction.

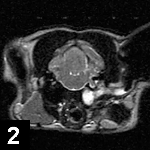
MRI image of the head of a cat with Horner syndrome.
FIGURE 2

Axial T2-weighted MRI of a cat with left-sided Horner syndrome and peripheral vestibular dysfunction secondary to severe otitis.

Sympathetic innervation to the eye is a three-neuron pathway:

Upper Motor (First Order) Neuron

This cell body, located in the hypothalamus, projects axons through the brainstem and cervical spinal cord to the level of T1-T3 spinal segments.

Preganglionic (Second Order) Neurons

Axons of preganglionic neurons, which arise in the T1-T3 spinal region, leave the spinal cord through the ventral roots and pass through the cranial thorax and neck as part of the vagosympathetic trunk and synapse in the cranial cervical ganglion ventromedial to the tympanic bulla.

Related article: Elevation of the Third Eyelid & Miosis in a Cat

Related article: Horner Syndrome: Identifying the Cause

Thoracic VD x-ray of a cat showing proliferation and loss of detail of the cranial left rib cage.
FIGURE 3

VD thoracic radiograph of a cat with left-sided Horner syndrome showing a sarcoma affecting the first 4 ribs and cranial thorax on the left, impacting preganglionic neurons.

Postganglionic (Third Order) Neurons

Postganglionic neurons originate in the cranial cervical ganglion and send axons near (ie, in dogs) or through (ie, in cats) the tympanic bulla, into the calvaria, and to the eye.

Related article: Diagnosis & Management of Otitis