
A 3-year-old neutered male Chihuahua is presented for a suspected esophageal foreign body. He was normal prior to ingesting a chicken wing a few hours before presentation. Immediately following ingestion, he gagged and retched multiple times and exhibited ptyalism.
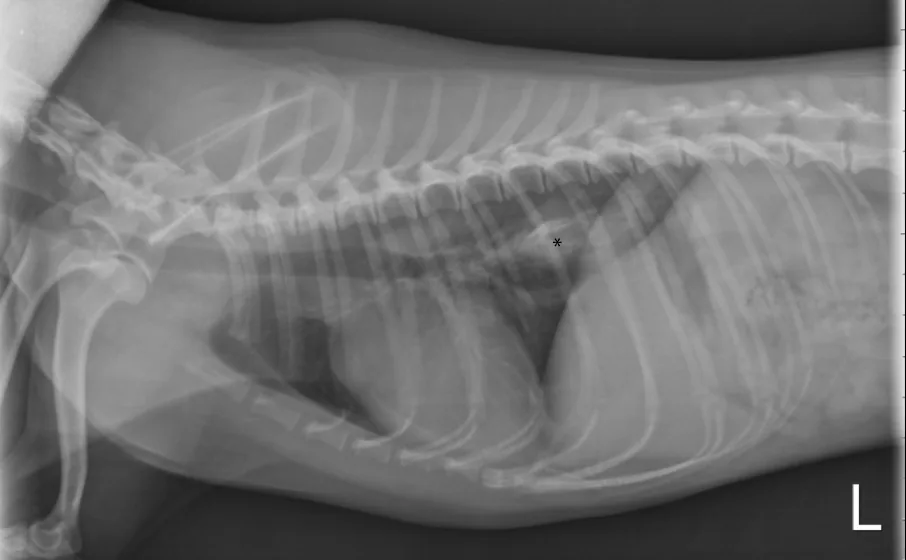
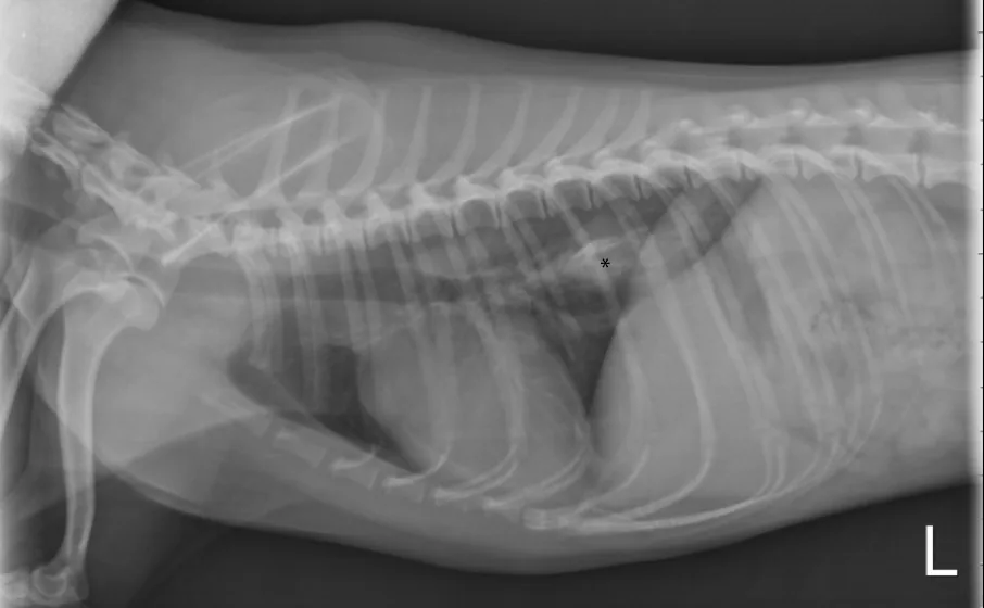
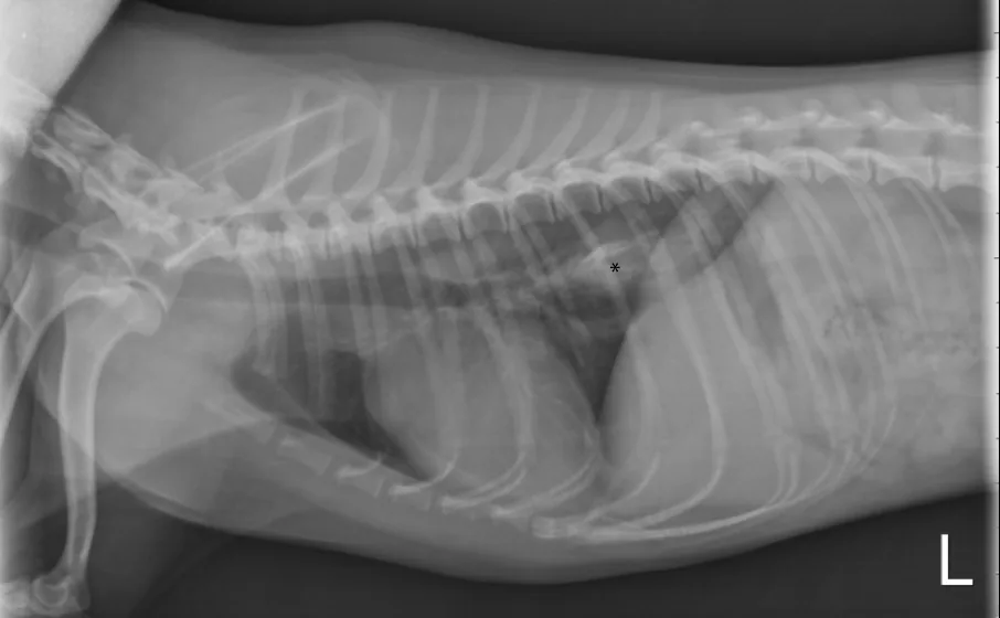
On physical examination, the patient stands in a hunched position and is hypersalivating. Vital parameters (including body temperature) are within normal limits, and the remainder of the examination is normal. Baseline clinical pathology, including CBC and serum chemistry profile, is normal. A mineralized foreign opacity in the caudal esophagus is noted on thoracic radiography (Figure 1).

Left lateral thoracic radiograph of a dog with dysphagia. A mineralized foreign opacity is noted in the caudal esophagus (asterisk).
The chicken wing is removed endoscopically 24 hours after ingestion. Following foreign body removal, esophageal erythema and erosive lesions are noted (Figure 2). Moderate to severe esophagitis is also observed near the lower esophageal sphincter.

Endoscopic image of the esophagus following foreign body removal. The underlying esophagus has erosive lesions (boxes) and erythema. Moderate to severe esophagitis is observed near the lower esophageal sphincter.
Take the Quiz
Listen to the Podcast
Dr. Tolbert joined the podcast to dive deeper into the therapeutic options for these cases.