Emergent Epilepsy & Status Epilepticus
Andrew Linklater, DVM, DACVECC, Veterinary Specialists of the Rockies, Castle Rock, Colorado
Canine patient in the immediate postictal phase demonstrating altered mentation and ptyalism
You have asked…
What is an emergency specialist’s approach to acute management of epilepsy and status epilepticus?
The expert says…
Seizures, a common presenting complaint to emergency clinicians (see Seizures Defined below), occur for many reasons: toxin ingestion or medication overdose, severe metabolic disorders, neurologic and neuromuscular disorders, and primary epilepsy (see Causes of Seizures & Tremors below). Emergency clinicians must be familiar with the differentials that can cause seizures in order to identify and treat underlying conditions. To differentiate seizures from tremors, syncope, or other neuromuscular disorders, thorough history taking and physical and neurologic examinations are necessary. Epilepsy can be diagnosed once other diseases are ruled out.
Related Article: Seizure Management in Dogs
Seizures Defined
Seizures, characterized by an acute increase in aberrant electric activity in the brain, may lead to excessive and abnormal neuronal transmission that often results in uncontrolled muscular activity. There are 3 seizure phases:
1. The Preictal Phase: Although it is uncommonly recognized in companion animals, this preseizure phase most often consists of subtle behavioral changes.
2. The Ictal Phase: During the ictal phase of a grand mal seizure, the patient may exhibit varying levels of consciousness, may not respond to verbal and other sensory stimuli, may be recumbent with tonic or clonic limb movement, and/or may urinate or defecate. Focal (motor, sensory, and autonomic) seizures can be more difficult to recognize, can vary in presentation, and may include contractions of a single limb, altered consciousness, aggression, or fly biting.
3. The Postictal Phase: This phase lasts minutes to hours after the seizure, during which the patient acts abnormally, commonly demonstrating lethargy, ataxia, obtunded mental status (see Figure 1) and atypical behavior.
Causes of Seizures & Tremors
Hypoglycemia
Derangements of calcium, sodium, magnesium, phosphorus
Primary epilepsy
Encephalitis
Neoplasia
Hepatic encephalopathy
Renal disease
Liver disease
Head trauma
Cardiac disease
Neurologic disease
Degenerative brain disease
Vascular events
Malformations (eg, hydrocephalus)
Diagnostics
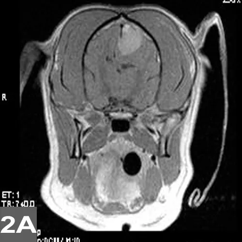
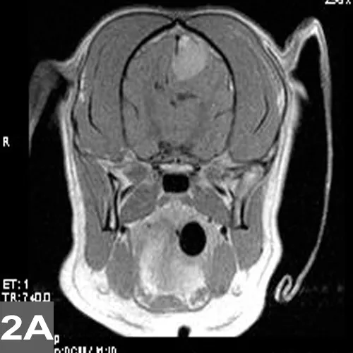
Initial diagnostics typically consist of emergency blood analysis (ie, glucose, electrolytes, blood gases, urea concentration, PCV/TS), but a more complete blood analysis (ie, CBC, chemistry panel, thyroid profile), urinalysis, additional screening tests (eg, thoracic radiography, ECG, abdominal radiography or ultrasonography), and blood pressure monitoring are often recommended. Other pertinent tests (eg, blood ammonia or bile acids, coagulation profile, insulin level, toxicologic and infectious disease diagnostics) depend on the suspected underlying disease and should be considered before pursuing advanced imaging (eg, MRI; Figure 2) and cerebrospinal fluid analysis.
Related Article: Human Medication Intoxications
Postgadolinium T1 axial (2A) and sagittal (2B) MRIs of a dog with a brain tumor
Indications for Seizure Treatment
Except with head trauma, a single seizure is seldom cause for starting antiepileptic drugs (AEDs). Patients should be started on AEDs if they have status epilepticus or cluster seizures (ie, >1 seizure q24h) or if long-term control is necessary (ie, >1 seizure q4–6wk). AEDs are best started early in the disease course, acknowledging that each seizure may propagate further seizure activity, a phenomenon known as kindling. Recent evidence also shows that dogs undergoing surgery for PSS may be treated prophylactically with levetiracetam at 20 mg/kg PO q8h for 24 hours before surgery.1
Stabilization & Immediate Management
As in any emergency, airway, breathing, and circulatory disturbances should be treated first. The first-line drug for seizures is typically a benzodiazepine (eg, diazepam, midazolam) administered IV or as double dose PR; although midazolam can be administered IM, the route is not rapid onset. These medications are metabolized quickly and only inhibit seizures briefly; they may also be administered by constant-rate infusion (CRI). For patients already on AEDs, the dose may need to be increased. These medications should not be administered as first-line agents if a portosystemic shunt (PSS) is suspected, as doing so may induce a coma. If ethylene glycol (EG) intoxication is suspected, blood samples should be collected before medications are administered (if possible); propylene glycol (in injectable diazepam), sorbitol (in many activated charcoal products), and mannitol may cause false-positive results on routine in-hospital EG testing.
Related Article: Intracranial vs Extracranial Seizures
Status epilepticus requires rapidly increasing blood levels or loading the patient with a long-term AED by injection to rapidly reach therapeutic blood levels; phenobarbital is often the first choice. Rapid increases in blood levels with phenobarbital or bromide can lead to severe sedation, making close neurologic monitoring essential. Owners should be counseled that although adverse effects, particularly sedation and ataxia, may last for several weeks, their presence is not a reason to discontinue therapy.
Propofol, a rapid-acting GABA-agonist IV anesthetic that decreases seizure activity in the brain, is given to patients that fail to respond to benzodiazepines or as a first-line agent to arrest status epilepticus in patients with a PSS. A single induction dose is typically insufficient to arrest status epilepticus, and CRI is often necessary; this may be administered with or without concurrent CRI of a benzodiazepine and/or during long-term AED administration. While some controversy exists regarding the antiseizure effects of propofol, it has been reported as successful treatment in humans with refractory status.2-7 Patients on propofol infusions usually require intubation to protect the airway and may require oxygen supplementation and/or assisted ventilation to avoid risk for apnea.
Patients unresponsive to these medications may be anesthetized with isoflurane for 1 to 6 hours while long-term AED therapy is initiated.
Related Article: Canine Idiopathic Inflammatory CNS Disease
Common Toxicities
Permethrin or pyrethroids (cats)
Antiarrhythmic medications
Baclofen
Methylxanthines (eg, chocolate)
Strychnine
Bromethalin
Ethylene glycol
Mold or moldy food
Antihypertensive medications
Antidepressants or antipsychotics
Stimulants
Marijuana
Organophosphates
Metaldehyde (snail bait)
Xylitol
Lead
Ivermectin
Naphthalene (moth balls)
Fluorouracil
Several other AEDs are available for injection: Levetiracetam (see Figure 3) is immediately effective with few adverse effects and has become more widely used in veterinary medicine. Bromides (eg, PO or PR potassium bromide, injectable sodium bromide) may also be administered as long-term AEDs in dogs only. Although they are not widely used in veterinary medicine, phenytoin and pentobarbital may be alternative agents for seizure prophylaxis or treatment of status epilepticus.8-10
Levetiracetam injection has become more available in recent years and has few adverse effects; it may help control status epilepticus and can be used as a long-term AED
Consequences of Status Epilepticus
Seizures are not benign and may warrant investigation or additional treatment. Excessive muscular movement may result in severe hyperthermia that can lead to hypocoagulation, severe GI signs, and multiple organ failure; seizures can also result in noncardiogenic pulmonary edema and self-induced trauma.
Cerebral edema secondary to hyperthermia and/or prolonged seizures may be treated with mannitol and furosemide and/or hypertonic saline. Steroids may be used when there is structural intracranial disease and inflammation. Some patients may show temporary postictal neurologic deficits, including cortical blindness.
See the algorithm on Status Epilepticus: Emergency Management.
AED = antiepileptic drug, CRI = constant-rate infusion, GABA = gamma-aminobutyric acid, EG = ethylene glycol, PR = per rectum, PSS = portosystemic shunt