To Cut or Not To Cut: Tibial Fracture in a Puppy

ArticleLast Updated November 20142 min readWeb-Exclusive
Featured Image

Case: A 5-month-old castrated pit bull terrier.

History: Vehicular trauma after patient escaped from collar while on a walk.

Physical examination: Grade 4/4 nonweight–bearing lameness of the right pelvic limb. Physical examination revealed multiple abrasions and significant soft tissue swelling surrounding the right stifle and proximal tibia.

Featured Image

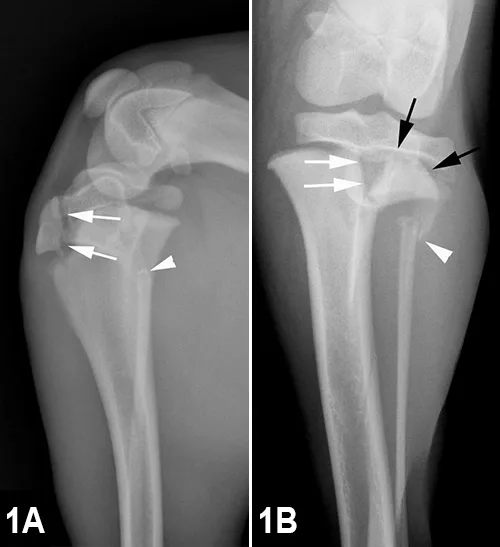
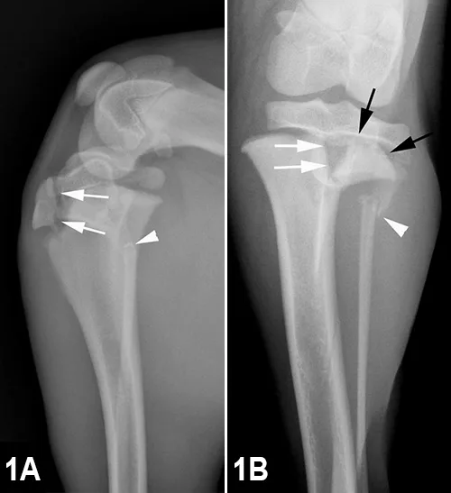
Radiographs: Lateral (Figure 1A) and cranio–caudal (Figure 1B) views of the right stifle

Radiographic Findings: There is a vertical fracture of the right proximal tibial metaphysis (white arrows); the remaining metaphysis is displaced medial to the epiphyseal portion of the tibia, indicating a physeal fracture (black arrows). The epiphysis is spared, and no joint effusion is detected. A fracture of the proximal fibula and medial displacement are also observed (white arrowhead).

Diagnosis: Thie tibial fracture is classified as a Salter–Harris type II fracture, the most common fracture type involving the physis. Physeal fractures must be identified, as angular limb deformities and joint incongruities can result from premature closure of a physis, particularly when involving the radius or ulna.

Should this patient go to surgery or not?

Featured Image

Outcome: Surgery is indicated, and the day following initial presentation, fracture ends were reduced and fluoroscopic-assisted percutaneous pinning of the fractures performed (Figures 2A and 2B, taken before pin ends were trimmed). A lateral splint was placed, and the bandage was changed weekly. Radiographs showed complete healing 4 weeks postoperatively, and the pins were then removed.

The patient’s lameness was grade 2/4 at pin removal; the patella was stable, and no joint instability was detected. A gradual return to physical activity was recommended.

To Cut or Not to Cut is intended as a forum for those with specialized expertise to share their case experiences. As such, the content reflects one expert’s approach and is not subject to peer review.