To Cut or Not to Cut: Tarsal Injury in a Dog

ArticleLast Updated February 20132 min readWeb-Exclusive
Featured Image

Case:  A 6-year-old spayed Labrador retriever

History: Leg was trapped in a seatbelt when jumping out of a car

Physical examination: Non-weight-bearing lameness in left rear leg. Physical examination revealed left tarsal swelling and effusion.

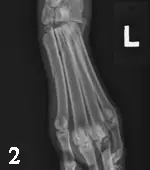
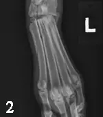
Left tarsal radiographs: Lateral and dorsoplantar (DP) views  

Related Article: To Cut or Not To Cut: Foreign Body in a Dog?

Featured Image
A lateral radiograph of a left forelimb shows the carpal and metacarpal bones, with clear visibility of the phalanges. The image highlights a potential fracture in the distal radius, indicated by a visible line in the bone structure.

Radiographic Findings (Figures 1 and 2):  There is an oblique fracture of the proximal diaphysis of the 2nd metatarsal bone with minimal displacement. There is displacement of all metatarsal bones dorsally relative to the distal row of tarsal bones. This is best visualized in the lateral view. In addition, there is also increased joint space in the tarso-metatarsal joint, which is more severe medially. The first metatarsal bone is a small rounded opacity superimposed over the abnormally widened joint space in the DP view; this should not be confused with a fracture fragment.

Related Article: To Cut or Not To Cut: Foreign Body in a Cat?

A lateral radiograph of a left forelimb shows a fracture in the radius and ulna, indicated by arrows. The image highlights the alignment of the carpal bones and the surrounding soft tissue structures.

Diagnosis (Figure 3): These findings indicate a fracture of the 2nd metatarsal bone (arrow) and, more importantly, subluxation of the tarso-metatarsal articulation (arrowhead). In human medicine, this is called a Lisfranc injury and is most commonly identified in athletes.

Should this dog go to surgery or not?

Outcome: This subluxation needs to be stabilized surgically. Intramedullary pins were placed spanning the 2nd through 4th metatarsal bones through the tarso-metarsal joints. The patient had an excellent outcome and no lameness was observed 9 weeks postoperatively.

Splinting a cat or a small dog with this injury may suffice, but surgical arthrodesis should be performed in medium- to large-sized dogs. Surgical repair of fractured weight-bearing digits (3rd and 4th metacarpal/metatarsal bones) is generally recommended, particularly if 3 or more digits are fractured. Fractures of the 2nd or 4th metacarpal/metatarsal bones may be amenable to splinting, depending on the degree of displacement.

To Cut or Not to Cut is intended as a forum for those with specialized expertise to share their case experiences. As such, the content reflects one expert’s approach and is not subject to peer review.