To Cut or Not to Cut: Elbow Incongruity in a Newly Adopted Dog

ArticleLast Updated December 20132 min readWeb-Exclusive

Signalment: 6-month-old spayed crossbreed dog 

History: The patient was adopted from a shelter, and the new owner noticed limping on the right thoracic limb at adoption.

Physical examination: Grade 3 of 4 lameness right thoracic limb; moderate elbow pain on right thoracic limb extension.

Related Article: Orthopedic Examination of the Forelimb in the Dog

Radiographs: 

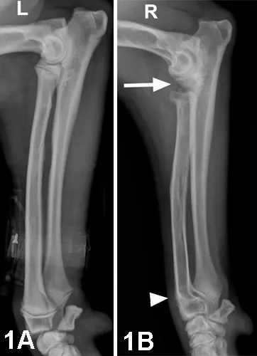
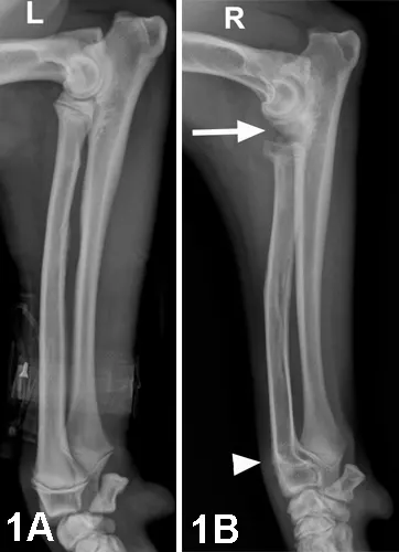
  • Lateral views of the left (Figure 1A) and right (Figure 1B) radius/ulna show the left limb with normal, open physes in the distal radius and ulna, as well as the presence of an IV catheter.

Featured Image
  • The distal right radial physis is closed (white arrowhead) and large gaps are present (white arrow) between the:

  • (1) right humeral condyle and radial head, and

  • (2) coronoid process of the ulna and radial head

Figure 1. Lateral views of the left (1A) and right (1B) radius/ulna.

Related Article: Elbow Pain in a Young English Bulldog

Radiographic Diagnosis: 

1. Normal left radius and ulna2. Premature closure of the right distal radial physis with secondary severe elbow incongruity

Should this dog go to surgery?

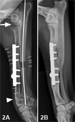
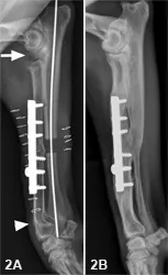
Featured Image

Outcome: A right radial lengthening was performed, incorporating a cortical graft obtained via ulnar ostectomy. Patient lameness and elbow pain completely resolved within 3 months postoperatively.

Figure 2. Immediate postoperative lateral view (2A) with prematurely closed right radial physis of the right radius and ulna (arrowhead) and humero-ulnar incongruity (arrow). Lateral view (2B) shows the right radius and ulna 2 years after surgery, demonstrating greatly reduced incongruity and complete healing of the radius and ulna.