Cryptococcosis in the Cat

ArticleLast Updated April 20091 min readPeer Reviewed
A veterinarian in gloves holds an orange cat with severe facial lesions around its eyes and nose, indicating a possible dermatological condition. The setting appears to be a clinical environment, with the veterinarian's shirt showing a plaid pattern.

Cryptococcus neoformans is an environmental yeast found worldwide. It can cause local or systemic mycotic infections in animals and humans. Cats are more susceptible than dogs, and the infection tends to involve the upper airways, including the nasal orifices, nasal cavities or sinuses, oral cavity, and, rarely, thorax. The central nervous system (CNS) may also be involved.

Diagnosis is easily obtained with fine-needle aspiration and cytology or tissue biopsy, and a serum latex agglutination test detects the actual fungal antigen. Long-term (> 5-6 months) treatment with azole drugs, such as ketoconazole (5-10 mg/kg Q 12 H) and itraconazole (10-15 mg/kg Q 24 H), is often effective. Terbenafine (5 mg/kg Q 12 H) can be used for resistant infections, and fluconazole (50 mg/cat Q 24 H) is used for CNS involvement.

Featured Image
Featured Image

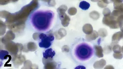
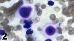
Figure 1 (above) depicts a cat with cryptococcal granulomas at its airway orifices and the periocular regions. Fine-needle aspiration biopsy showed typical cryptococcal yeasts with a thick mucin capsule and budding daughter yeast (Figure 2; periodic acid-Schiff stain; original magnification, 100¥). Funduscopic examination may show chorioretinitis due to fungal granuloma formation; Figure 3 depicts 8 retinal granulomas.