Corneal Cytology & Culture Collection
Alison Clode, DVM, DACVO, Port City Veterinary Referral Hospital, Portsmouth, New Hampshire

A simple corneal ulcer only involves loss of corneal epithelium.
Corneal ulceration is a commonly encountered problem in veterinary practice. A simple corneal ulcer that involves only loss of corneal epithelium (Figure 1) should heal within 5 to 7 days, provided the underlying cause is identified and treated.
Although many ulcers are caused by trauma, other causes include keratoconjunctivitis sicca, eyelid or eyelash abnormalities, and conjunctival foreign bodies. When an ulcer fails to heal within 1 week, further assessment must be directed toward identifying other potential underlying conditions or the presence of infection. If additional causes are not identified and infection is ruled out, the ulcer may be classified as an indolent (nonhealing) ulcer.
Treatment for nonhealing ulcers (ie, grid keratotomy, superficial punctate keratotomy, superficial keratectomy) is directed toward correcting the underlying microanatomic defect in the epithelial attachment to the corneal stroma. Thus treatment protocols are indicated only for appropriately diagnosed superficial nonhealing ulcers. Because such treatment may be extremely detrimental in the presence of infection, it is imperative that clinicians recognize and diagnose an infected (and therefore complicated) corneal ulcer. Diagnosis of an infected corneal ulcer is based on a combination of clinical appearance, corneal cytology, and corneal cultures (see Signs of Infected Corneal Ulcer).
Signs of Infected Corneal Ulcer
Fluorescein dye uptake
Corneal cellular infiltrate (yellowish opacity within and around ulcer bed; Figure A. Corneal cellular infiltrate)
Corneal stromal loss (visible defect; Figure B. Corneal stromal loss)
Perilesional corneal edema
Variable corneal vascularization
Reflex anterior uveitis (miosis, flare, low intraocular pressure)

Corneal cellular infiltrate

Corneal stromal loss
Opthalmic Examination
A complete ophthalmic examination is indicated for every animal with a corneal ulcer and should consist of assessment of neurologic responses and reflexes (menace response; palpebral, pupillary light, and dazzle reflexes); Schirmer tear test; and fluorescein dye application. Ideally, tonometry and funduscopic examination are also included.
Performing an ophthalmic examination in a darkened room with a focal light source, with or without magnification, greatly improves the contrast and allows subtle lesions to be more easily recognized.
Contraindications
The primary contraindications to corneal cytology and culture collection are the presence of a descemetocele (Figure 2) and corneal perforation. While not necessarily contraindicated in other cases of deep infected corneal ulcers, ideally all these cases should be referred to an ophthalmologist, at which time samples can be collected in conjunction with definitive (often surgical) treatment.

Presence of a descemetocele (herniation of Descemet’s membrane) is one of two primary contraindications to corneal culture collection and cytology.
If referral to an ophthalmologist is not feasible, an ophthalmologist should be consulted for appropriate therapeutic options. If referral is an option, the ophthalmologist should be contacted to determine whether any medications (topical or systemic) should be started or avoided before the patient sees the specialist. Some medications (ie, ointments) may cause damage to the intraocular environment in the event of corneal perforation.
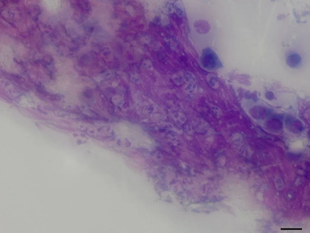
Cytolgoic Interpretation
An adequate cytology sample is indicated by the presence of squamous corneal epithelial cells (Figure 3). The sample is evaluated for the presence of organisms and inflammatory cells, specifically neutrophils (lymphocytes, plasma cells, and eosinophils may also be present and are considered abnormal, indicative of noninfectious disease processes). Neutrophils, with or without bacteria located intracellularly or in extracellular clusters, can indicate infection and necessitate aggressive empiric topical antibiotic therapy based on bacterial morphology while awaiting results of culture and susceptibility testing.

An adequate cytology sample is indicated by the presence of squamous corneal epithelial cells, whereas the presence of neutrophils indicates infection.
As soon as a corneal infection is diagnosed or if infection is strongly suspected but not definitively confirmed, clinicians should consider referring the patient to an ophthalmologist, as more aggressive medical and/or surgical therapy may be indicated.
Step-by-Step: Corneal Cytology & Culture Collection in Dogs
What You Will Need
Direct light source (transilluminator, otoscope, or bright penlight)
Eyelid speculum (optional)
Sterile scalpel blades, Kimura spatula, or cytobrush
Glass slides
Culture plates or tubes (as specified by microbiology laboratory)
Stain (Diff-Quik or Gram stain)
Microscope

Step 1
Following instillation of topical ophthalmic anesthetic (ie, proparacaine, tetracaine), have an assistant stabilize the dog’s head by placing one hand under the chin and the other behind the head.
Step 2
Insert an eyelid speculum into the palpebral fissure or use the nondominant hand to open the eyelids (shown).
Author Insight
It is important to rest the dominant hand, which is used to collect the samples, on the dog’s head to ensure that if the dog moves, the hand and collection instrument move with, rather than against or into, the dog’s eye.
Step 3
Using a Kimura spatula, cytobrush, or blunt handle end of a sterile scalpel blade, gently scrape the area of cellular infiltration to obtain an adequate sample.
Author Insight
If using a Kimura spatula or a scalpel blade, the instrument should be angled at less than 45° to the corneal surface, creating minimal risk for damaging the cornea.
Step 4
Smear the sample directly onto a glass slide, and stain for immediate evaluation. Collect culture samples (generally aerobic bacterial, +/- anaerobic bacterial, +/- fungal) in the same manner and handle them according to laboratory specifications.
Author Insight
Using swabs is discouraged, as the resultant samples are generally of poor quality.
