Postoperative Anorexia in a Rabbit
Andrew Bean, DVM, MPH, DABVP (Exotic Companion Mammal Practice), Animal Emergency & Referral Center of Minnesota, Oakdale, Minnesota
Clinical History & Signalment
Victor, a 1-year-old neutered male mini lop rabbit, was presented for a 3-day history of anorexia and no defecation. He had been neutered at another clinic 6 days earlier (records were not available) and was sent home with meloxicam (0.2 mg/kg PO every 24 hours for 3 days) for pain control. His owner reported he had both decreased appetite and fecal production in the days following the procedure. Victor’s diet was free-choice timothy hay supplemented with greens and one-fourth cup of adult rabbit pellets daily.
Physical Examination
Victor was quiet on physical examination; he responded to stimuli but did not explore the room. His rectal temperature was 99.2°F (37.3°C; normal, 100.4°F-104°F [38°C-40°C]). His heart rate was 290 bpm (normal, 140-180 bpm), and he had rapid, shallow respirations. Heart and lung sounds were normal. Blood pressure was 85 mm Hg measured via Doppler and a number 2 cuff on the right thoracic limb.
Victor exhibited orbital tightening (ie, both eyes were partially closed; Figure 1) with no other ophthalmic abnormalities. Abdominal palpation revealed a mildly enlarged, firm stomach with no outward signs of pain. Borborygmi were absent. The scrotal sac had 2 well-apposed, longitudinal incisions with minimal erythema and dried hemorrhagic discharge. Oral examination revealed no abnormalities. Skin turgor was mildly reduced. Urinary bladder was small with no palpable abnormalities. He was estimated to be 7% to 10% dehydrated. All other findings were unremarkable.
Orbital tightening
Diagnosis: Rabbit GI Syndrome With Compensatory Hypovolemic Shock
Diagnosis
Physical examination findings were consistent with rabbit GI syndrome (RGIS, previously known as GI stasis), which is a clinical manifestation of many underlying causes. Clinical signs of significant pain (eg, orbital tightening, lack of interest in surroundings) combined with a low rectal temperature and borderline hypotension warranted hospitalization for more aggressive treatment and diagnostic investigation.
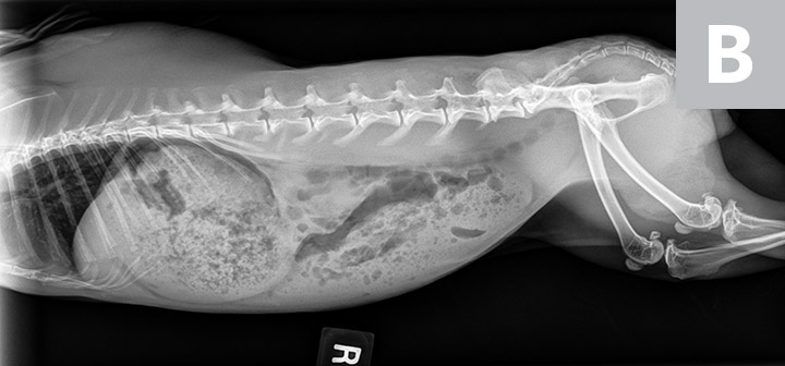
Victor was sedated with midazolam (0.5 mg/kg IM) to reduce stress during IV catheter placement and diagnostic testing. Abdominal radiographs (Figure 2) showed heterogeneous material in the stomach, which was inappropriately large for an anorexic rabbit; no obstructive pattern was seen.
A 24-gauge IV catheter was placed in the right cephalic vein, and a blood sample was collected from the left marginal auricular vein for CBC and serum chemistry profile; results were normal except for BUN (44 mg/dL; normal, 10-32 mg/dL), creatinine (3.2 mg/dL; normal, 0.5-1.6 mg/dL), phosphorus (6.8 mg/dL; normal, 1.7-6.6 mg/dL), and glucose (168 mg/dL; normal, 100-155 mg/dL). These findings were interpreted as stress hyperglycemia and prerenal azotemia. A small amount of urine was collected via cystocentesis for measurement of urine specific gravity, which was 1.040 (normal, 1.003-1.036)1; the amount collected was insufficient for full urinalysis.
FIGURE 2A
Abdominal and partial thoracic radiograph, left lateral view (A); abdominal and partial thoracic radiograph, right lateral view (B); and abdominal and thoracic radiograph, ventrodorsal view (C) showing heterogeneous material in the stomach but no obstructive pattern
Treatment & Management
Lactated Ringer’s solution (10 mL/kg IV bolus over 10 minutes) was administered, after which Victor’s systolic blood pressure measured 100 mm Hg via Doppler. IV fluid therapy was continued at 18 mL/hour (10.5 mL/hour to correct 7% dehydration over 12 hours + 4.5 mL/kg/hour for maintenance). Analgesia was provided with lidocaine (loading dose, 2 mg/kg IV, followed by 100 µg/kg/minute CRI) and buprenorphine (0.04 mg/kg IV every 8 hours). After hydration was restored (≈12 hours after admission), assisted feedings with a liquid recovery diet appropriate for rabbits were given every 6 hours. Thermal support was provided with a heated incubator.
Victor’s anorexia, lack of defecation, and lethargy were caused by inadequate postoperative pain management. The currently accepted dosage of meloxicam in rabbits is 1 mg/kg PO every 24 hours; however, this is based on pharmacokinetic studies of therapeutic plasma drug concentrations in dogs and cats.2,3 This dosage has been shown to be safe in healthy rabbits.2,3
Lidocaine CRIs are a common analgesic modality in rabbit medicine. Studies have shown that rabbits receiving lidocaine CRIs have reduced isoflurane mean alveolar concentration and superior recovery time from elective ovariohysterectomy compared with rabbits receiving buprenorphine.4,5
Treatment of RGIS depends on the patient’s overall condition (see Treatment at a Glance). Victor’s case illustrates the importance of acquiring vital signs (including blood pressure) as part of the initial assessment, as findings in this patient supported compensatory shock and guided appropriate treatment. Noninvasive blood pressure measurement in rabbits may under- or overestimate arterial blood pressure.6 Doppler systolic blood pressure <80 mm Hg taken from the dorsal carpal branch of the radial artery is a reliable indicator of arterial hypotension in young, healthy pet rabbits.7 Other studies state that hypotension is present when systolic blood pressure is <90 mm Hg.8
Treatment at a Glance
Diagnostic investigation should start with measurement of vital signs, including blood pressure.
Radiography, CBC, serum chemistry profile, and urinalysis can provide an initial understanding of patient status and therapeutic needs.
Fluid therapy and analgesia are the cornerstones of treatment for RGIS.
Fluid therapy should be designed to correct hydration status, meet maintenance requirements, and supplement ongoing losses as needed. Boluses can be administered if hypovolemia is suspected.
Multimodal analgesia can maximize pain control and minimize adverse effects.
There is little evidence to support the use of prokinetic medications (eg, metoclopramide, cisapride) in rabbits. A recent study showed that cisapride (0.5 mg/kg PO every 8 hours) did not significantly improve GI transit time.11 Historic use of prokinetics for management of RGIS has been anecdotal. Prokinetics may be indicated for specific conditions; however, the author does not recommend indiscriminate use for treatment of RGIS. Determining the underlying cause of the condition is key.
Prognosis & Outcome
Victor’s appetite improved, and his stool and urine production normalized over 48 hours. He was discharged with meloxicam (1 mg/kg PO every 24 hours for 5 days). Victor was active at the one-week follow-up. His owner reported normal activity, appetite, and elimination at home.
RGIS is not a definitive diagnosis; it is secondary to an underlying cause that may be within or outside the GI tract (see Take-Home Messages).8 Prognosis varies depending on the underlying cause and is generally good unless substantial hypothermia is present.9
The lowest normal rectal temperature in rabbits is 100.4°F (38°C).10 In one study, the odds of death within 2 weeks of being presented doubled for every 1.8°F (1°C) below 100.2°F (37.9°C).10 In another study, the odds of death for rabbits with a rectal temperature ≤97.9°F (36.6°C) were 5 times higher than euthermic rabbits.9
Take-Home Messages
RGIS is always secondary to an underlying cause that may be a primary GI condition or originate outside the GI tract.8
Rectal temperature should always be measured; patients with hypothermia may have a worse prognosis and should be treated more aggressively.9,10
Doppler systolic blood pressure <80 to 90 mm Hg is consistent with arterial hypotension in rabbits.7,8
The accepted dosage for meloxicam to control pain in rabbits is 1 mg/kg PO every 24 hours.2,3
In rabbits, lidocaine provides analgesia with a loading dose of 2 mg/kg IV, followed by 50 to 100 µg/kg/minute CRI.4